Collaborating Institution








Ongoing
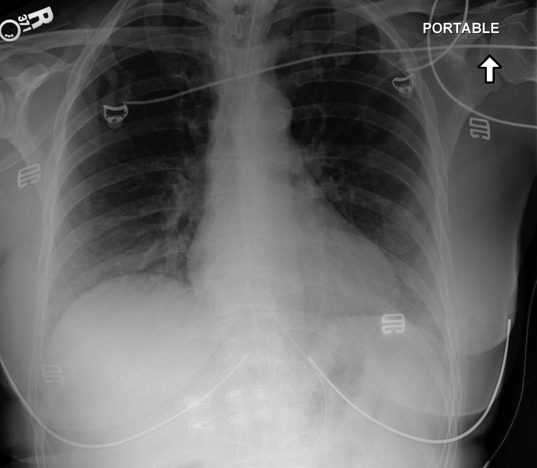
인공지능 기반의 흉부방사선 및 심전도 데이터 융합을 통한 위장관 출혈 환자 사망 및 중재 필요성 예측 모델 개발
#StructuredData #ChestXray #ECG #AutoML
견갑골 운동이상증 증상 타입별 분석을 위한 인공지능 진단 모델 개발
#Video Processing #Skeleton Extraction #DeepLearning
[한국연구재단] 3차원 홀로그래피와 딥러닝을 이용한 담도암 진단 모델 개발
#ImageProcessing #3DTomography
[Mighty Hallym] 인공지능과 3D 프린팅을 이용한 맞춤형 담관스텐트 제작
#ImageProcessing #3DSegmentation
Clinical data warehouse: 내시경 위절제술 연구
#StructuredData #DataScience
[강원지역혁신플랫폼(RIS)] X-ray사진 기반 압박골절 판독 연구
#ImageProcessing #DeepLearning
[미래의료연구센터] 멀티모달 인식기술을 활용한 개인맞춤 두통 정량화 및 관리 시스템 개발
#MultiModal #DeepLearning
Completed
[2024, 한국연구재단] 환자 사진의 머신러닝을 통한 기도의 평가 및 어려운 기도 예측 도구 개발
#ImageProcessing #DeepLearning
[2024, 한국연구재단] 딥러닝을 이용한 수술진로(네비게이션) 복강경 수술 개발 및 적용
#ImageProcessing #DeepLearning
[2024, 한국연구재단] 딥러닝을 이용한 심폐소생술 술기 교육 피드백 모델 개발 및 적용
#VideoProcessing #DeepLearning
[2024, 한국연구재단] 3차원 홀로그래피와 딥러닝을 이용한 췌장암 진단 모델 개발
#ImageProcessing #3D #DeepLearning
[2023] 딥러닝을 이용한 위암발생 예측모델 개발
#StructuredData #ImageProcessing #AutoML #DeepLearning
[2023] 딥러닝 기반의 위감염 상태 예측모델 개발
#StructuredData #ImageProcessing #AutoML #DeepLearning




















